肠瘟净---一种新型水貂二联疫苗

申报人:韩坤 申报日期:2024-06-21

基本情况

2024
肠瘟净---一种新型水貂二联疫苗 盲选
创新训练项目
农学
动物医学类
学生来源于教师科研项目选题
一年期
为应对水貂养殖业的需求,本项目拟利用反向遗传技术以水貂犬瘟热病毒弱毒CDV3株的拯救为基础,在CDV基因组P-M中克隆入MEV VP2基因,经过病毒拯救,获得同时表达CDV蛋白和MEV VP2蛋白的重组犬瘟热病毒rCDV3-VP2株为犬瘟热和水貂细小病毒性肠炎二联苗的研发提供候选疫苗株。

1、项目负责人已在犬瘟热课题组一进行了一年的学习,熟练掌握相关实验的操作原理及过程。

2、负责人参与犬瘟热课题研究一项。

1国家自然科学基金面上项目,SLAM受体介导犬瘟热病毒跨种间感染的分子机制,202001月至202312月;

2.国家自然科学基金青年基金,犬瘟热病毒变异株对水貂致病性增强的分子机制,201601月至201812月;

3.吉林省重点科技成果转化项目,水貂犬瘟热活疫苗产业化开发,201401月至201612月;

4.国家重点研发计划子课题,水貂、狐、貉犬瘟热-细小病毒性肠炎二联活载体疫苗创制,202312月至202712月;

5.黑龙江省重点研发计划项目,畜禽重要传染病快速诊断关键技术研发与推广,20219月至202508月;

企业横向课题,畜禽传染病免疫诊断技术研发,202305月至202505

1、主要为项目的研究背景和研究设计提供方向性指导,在难点和重点部分进行把关,帮助项目团队解决项目难题。

2、主要为项目团队的实践创造条件,根据项目团队的实际需求,可以为项目团队提供实地考察的机会。

3、所在的课题组能够为项目提供前沿性的学术观点指导。依托学院实验室资源及课题组资源,为项目的实验提技术支持。
校级

项目成员

序号 学生 所属学院 专业 年级 项目中的分工 成员类型
韩坤 动物科技学院 动物医学(创新人才班) 2021 实验操作和研究报告的撰写
国淑慧 动物科技学院 动物医学(创新人才班) 2021 资料搜集与文献查阅
沈书剑 动物科技学院 动物医学(创新人才班) 2021 财务统计与分析实验结果
胡胜男 动物科技学院 动物医学 2021 整理实验数据
陈傲 动物科技学院 动物医学 2021 实验动物的饲养和管理

指导教师

序号 教师姓名 所属学院 是否企业导师 教师类型
赵建军 动物科技学院

立项依据

本研究拟利用实验室前期建立的CDV反向遗传技术,以水貂犬瘟热病毒弱毒CDV3株为载体,在CDV基因组P-M中克隆入MEV VP2基因,经过病毒拯救,获得可以表达MEV VP2蛋白的重组犬瘟热病毒rCDV3-VP2rCDV3-VP2株经水貂免疫后攻毒,通过评估临床症状、中和抗体和细胞因子水平、病理变化及排毒情况,以评价疫苗候选株的免疫保护效果,为犬瘟热和水貂细小病毒性肠炎二联苗的研发提供候选疫苗株。   

以犬瘟热病毒CDV3株反向遗传学系统操作平台为基础,在CDV基因组插入表达MEV VP2基因的表达元件,经病毒拯救,获得表达MEV VP2蛋白的重组犬瘟热病毒rCDV3-VP2,并鉴定重组犬瘟热病毒rCDV3-VP2的生物学特性。

    重组rCDV3-VP2全长cDNA病毒的构建

以本研究室建立的犬瘟热弱毒疫苗株CDV3的反向遗传操作平台为基础,利用同源重组将MEV VP2基因片段插入CDV基因组P-M基因之间构建重组病毒,构建表达MEV VP2蛋白的重组犬瘟热弱毒疫苗株rCDV3-VP2全长cDNA克隆。

    重组rCDV3-VP2的拯救

BSR细胞接种于六孔板中,待生长至细胞密度为80%90%时,采用脂质体转染的方法,用重组病毒质粒pCR- rCDV3-VP2及辅助质粒pCAGGS-LpCAGGS-NpCAGGS-P共转染BSR细胞,5% CO237℃培养。72h 后或出现明显病变,吹下六孔板中细胞在 T25 细胞瓶中与 VerodogSLAM 共孵育。

    重组病毒的RT-PCRWestern blot鉴定

提取重组病毒的rCDV3-VP2病毒RNA,反转录合成cDNA,用针对VP2基因的引物对重组病毒进行RT-PCR验证。以为反转录的RNA作为对照组模板,以排除转质粒残留对RT-PCR检测结果的影响。

Western blot检测VP2蛋白的表达量,比较几种病毒表达VP2蛋白的水平;电镜观察病毒粒子形态与野生型CDV3株的病毒形态相比较。

    重组病毒生物学特征鉴定

测定其在Vero细胞上的一步生长曲线,明确其增殖特性。将重组病毒在Vero细胞上连续传代30次,测定各代次重组病毒的滴度;随机选择不同代次重组病毒,提取RNART-PCR测定插入的VP2基因是否丢失;

    MEV VP2蛋白表达鉴定

通过间接免疫荧光试验检测重组病毒在Vero细胞中CDV N蛋白和MEV VP2蛋白的表达情况;在六孔板中,接种Vero细胞,分别按MOI=0.1接种重组病毒与野生型CDV3,感染96 h后,去除细胞液,收获细胞,

    重组病毒免疫水貂检测其安全性试验

3月龄大小未接种过疫苗的健康水貂,将重组病毒按10倍剂量(104.0 TCID50)接种水貂,攻毒后连续观察3周后。剖杀动物、采集脏器做病毒载量和病理切片观察。按照水貂发病情况记录临床症状、病毒载量、病理变化。

    免疫试验

353月龄大小未接种过疫苗的健康水貂随机分为7组,其中三组接种DMEM空白对照、两组接种104.0 TCID50剂量重组病毒rCDV3-VP2、两组接种1 mL商品化病毒性肠炎二联活疫苗。

表格 1水貂犬瘟热细小病毒性肠炎二联苗免疫评价分组

分组

疫苗名称

免疫量

免疫途径

免疫效果验证

攻毒剂量

A

rCDV3-mVP2

104TCID50

肌肉注射

攻毒CDV SD-(14)7株

105TCID50

B

rCDV3-mVP2

104TCID50

肌肉注射

攻毒MEV SD-4株

105TCID50

C

商品化二联疫苗

1ml/只

肌肉注射

攻毒CDV SD-(14)7株

105TCID50

D

商品化二联疫苗

1ml/只

肌肉注射

攻毒MEV SD-4株

105TCID50

E

DMEM

1ml

肌肉注射

攻毒CDV SD-(14)7株

105TCID50

F

DMEM

1ml

肌肉注射

攻毒MEV SD-4株

105TCID50

G

DMEM

1ml

肌肉注射

正常水貂对照

 

 

在首次接种疫苗后第3周按第一针剂量接种第二针疫苗。接种后观察临床症状,在接种疫苗前和接种疫苗后收集血液,离心得血清。应用病毒中和试验测定CDVMEV的中和抗体水平(VNA)以及MEV特有的血凝抑制抗体水平(HI);应用荧光定量RT-PCR方法测定细胞因子转录水平(TNF-αIL-4IL-2IFN-γ)。

水貂免疫攻毒保护试验

水貂一次免后3周,分别攻毒105.0 TCID50剂量SD(14)7株和攻毒105.0 TCID50剂量MEV SD-4株。观察水貂的临床症状3周,每周采集血液,离心得血清,采集口鼻、直肠拭子和粪便样品。通过评估临床症状、中和抗体和细胞因子水平、病理变化及排毒情况,以评价疫苗候选株的免疫保护效果,将任何表现出明确临床症状的水貂进行安乐死,比较不同接种组的存活率。

    水貂细小病毒国内外研究进展

水貂肠炎细小病毒的增殖需要依赖处于增殖旺盛期的细胞,这与细胞内复制的因子具有相关性。MEV基因组全长约为5000bp,包含2个开放阅读框分别编码非结构蛋白和结构蛋白。非结构蛋白(Non-structural protein)包括NS1INS2,其中NS1蛋白在病毒的复制、转录过程中起重要作用;NS2与病毒DNA的扩增调控及衣壳蛋白的转录、组装过程相关。结构蛋白(Structural protein)主要包括衣壳蛋白VP1VP2VP1蛋白在病毒的复制和组装以及病毒发挥感染能力等方面具有重要作用;VP蛋白是组成MEV核衣壳的主要蛋白,在MEV的遗传进化及致病性等方面具有决定性的作用,可以诱导水貂产生MEV特异性中和抗体。

VP2蛋白是MEV的主要衣壳蛋白,约占衣壳蛋白总量的90%VP2蛋白在N结构域和环结构域中包含一些重要的B细胞表位,能诱导相应中和抗体的产生。其单独表达即可装配形成病毒样颗粒(Virus like particles, VLPs)。作为MEV的表面抗原。研究表明,细小病毒VP2蛋白的一些氨基酸位点突变频率较高,例如CPVVP2蛋白第300位、第426位氨基酸的突变频率很高,位点不断发生突变,从而导致病毒的进化,其中第300位氨基酸的突变可引起CPV对猫的感染。MEV各种诊断方法的建立以及基因工程疫苗的研发也主要依赖于VP2蛋白。

VLPs可通过诱导淋巴细胞增殖和高滴度的特异性抗体来刺激病毒性和非病毒性疾病。由于与真实病毒的构象极其相似,可在表达系统中诱导1个或多个病毒结构蛋白。不含病毒DNA,能穿透细胞和组织且含有大量抗原。VLPs还表现出优异的佐剂特性,而且,由于含有高密度B细胞表位和有效的T细胞表位,它能诱导先天和后天免疫反应。可作为全病毒疫苗的替代品。已有研究表明,。VP2的表达可导致VLPs的自发组装和形成,貉细小病毒(Raccoon dog parvovirus, RDPV)的VLPs疫苗可保护浣熊和犬免受RDPV感染。据报道,将病毒基因稳定转染到哺乳动物细胞系,包括293细胞系或Vero细胞系,可产生VLPs

   犬瘟热病毒反向遗传技术及其作为病毒载体的潜力

当细胞遇到CDV时,H蛋白发挥识别和吸附作用,与受体结合后,发生变构激活F蛋白使病毒囊膜与细胞膜发生融合,进而病毒的RNPS释放入细胞。RNPs进入细胞后L蛋白会识别3'端的启动子进行开启病毒基因组的转录,翻译病毒的各蛋白组分。当蛋白积累足够时M蛋白会牵引着RNPs靠近HF蛋白,MHF蛋白不断靠近进而包裹RNPS,最后包装成子代病毒粒子出壳。



                                         图表3.rCDV3 的基因组结构模式图

2000年,Gassen等首次成功构建犬瘟热的拯救系统,将全长cDNA克隆入带有T7启动子的载体,与辅助质粒NPL一起共转染于预先用痘病毒(MVA-T7)感染的HeLa细胞,成功实现CDV Onderstepoort株的拯救。2004Philippe Plattet等建立了CDV野毒A75/17 Vero细胞适应株A75/17-V的感染性克隆,在基因组3'端插入EGFP基因,重组病毒能在细胞上持续性表达EGFP。随后,研究者又先后实现了CDV/R-20/8CDV-L株、5804P等毒株的拯救。2021年卜研等人以pcDNA3.1(+)为骨架,构建了犬瘟热病毒CDV3株的全长cDNA重组质粒。利用脂质体转染技术将全长质粒与辅助质粒一起共转染293T细胞,实现了CDV3的拯救,拯救后的病毒最大病毒滴度达到107.667 TCID50/mL,显著高于野生型。rCDV3具有增殖快、滴度高的特点为疫苗研发以及致病机理研究提供有效工具。鉴于犬瘟热病毒反向遗传学技术目前已较为成熟,国内外学者利用犬瘟热病毒载体平台展开多种重组病毒载体疫苗研发。WangLi等分别用犬瘟热病毒CDV-LR-20/8株表达狂犬病毒G基因构建重组二联疫苗,均成功实现同时对犬瘟热和狂犬病的免疫。2015年,秦立得用犬瘟热病毒CDV r20/8株表达密码子优化的犬细小病毒VP2基因,该重组病毒具有良好的免疫原性,具有作为预防犬细小病毒病和犬瘟热二联活载体疫苗的潜力。随后研究者又利用此系统先后表达SARS-CoV-2 S1DBV-GN/GC抗原蛋白,成功构建了多个疫苗候选株。

综上所述,CDV是研发重组病毒载体疫苗的优良载体平台,而同属的犬瘟热病毒载体犬细小病毒疫苗的成功研发,为本项目所研发的疫苗提供了理论基础。

与痘病毒、腺病毒、疱疹病毒等大基因组的DNA病毒载体相比,作为副黏病毒成员的犬瘟热病毒基因组较小且利于操作;表达的蛋白少,减少了载体蛋白携带外源蛋白对免疫反应的竞争; RNA病毒作为载体,不会发生与宿主染色体整合的现象,因此极具作为病毒载体的潜力。

另外,VLPs被认为安全有效,可通过诱导淋巴细胞增殖和高滴度的特异性抗体来刺激病毒性和非病毒性疾病免疫反应,与真实病毒的构象极其相似,可在表达系统中诱导1个或几个病毒结构蛋白,不含病毒DNA,能穿透细胞和组织且含有大量抗原,这些稳定和多功能的纳米粒子表现出优异的佐剂特性,降低生产成本。

       ①技术路线

       ②拟解决的问题

问题:VP2蛋白是否能自组装成VLPs病毒粒子。

方案:CDV属单股负链RNA 病毒,MEV属单股负链DNA病毒,两种病毒的分类不一样,基因组复制及病毒各基因转录场所、体系不一样(前者在细胞质、后者在细胞核),这可能是VP2蛋白不能自组装成VLPs的原因之一。衣壳蛋白VP2蛋白在体外多聚化为VLPs时需要核酸,可以在VP2蛋白N端添加入核信号肽,帮助VP2蛋白入核表达,使VP2蛋白自组装成VLPs

体外组装VLPs有两种形式:一种是通过宿主细胞对衣壳蛋白表达后、再经纯化获得,或是采用无细胞蛋白质合成系统产生的衣壳蛋白,在体外进行组装。另一种是VLPs在胞内解聚后,在缓冲液的作用下,衣壳蛋白在体外重新组装形成VLPsVLPs的形成过程与病毒衣壳的组装相同,除了与衣壳蛋白本身的结构有关,也受感染环境影响。pH通过影响衣壳蛋白表面的电荷从而影响VLPs的体外组装。大多数VLPs的体外组装最佳pH6.8~7.0;离子强度对衣壳蛋白的组装也有影响。温度也可影响衣壳蛋白的组装,在一定条件下,越低的温度越可以有效防止蛋白的聚集和降解,更有利于蛋白的表达。

③预期成果

(1)获得表达MEV VP2蛋白的重组犬瘟热病毒1株,

(2)免疫效力评价证实可以保护水貂抵抗犬瘟热和细小病毒性肠炎的致死性感染。

(3)  参加省级创新创业比赛1次,发表省级或以上论文1篇。

2024.072024.10  构建重组病毒,拯救重组病毒。

2024.112025.02  初步鉴定重组病毒。

2025.032025.06  重组病毒的免疫效果评价,进行动物实验。

2025.062025.07  整理研究成果,撰写结题报告。

所使用的反向遗传技术已成功拯救出其他重组病毒,且遗传稳定。


                   图表4.重组病毒rCDV3-EGFP的间接免疫荧光

将重组病毒感染细胞后进行间接免疫荧光实验。以抗 CDV N 蛋白单克隆抗体为一抗检测 N 蛋白 表达(红色); rCDV3-EGFP 表达的 EGFP 蛋白自发光(绿色)


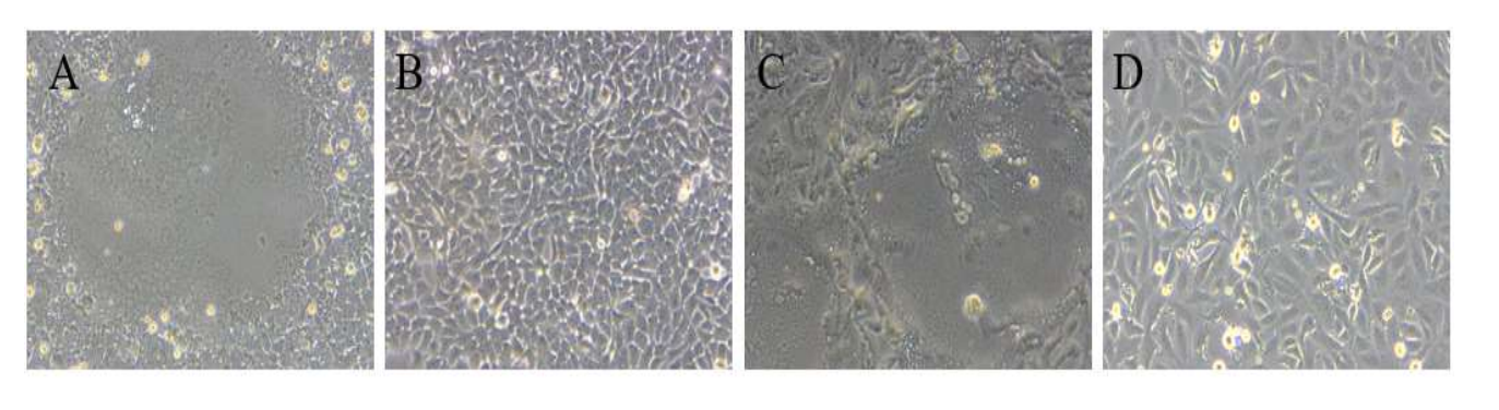
                   图表5.重组病毒 rCDV3-S1 的拯救

A)将全长质粒与辅助质粒共转染于 BSR 细胞 72 h 后在 BSR 细胞上观察到细胞病变;(B)未感染 BSR 细胞;(C)将 BSR 细胞上的病变进行噬斑克隆后接种于 VerodogSLAM 引起的细胞病变;(D)未 感染的 VerodogSLAM 细胞


          图表6.rCDV3-S1 的间接免疫荧光验证

重组病毒感染 VerodogSLAM 细胞后进行间接免疫荧光验证,白色线圈示意细胞病变位置;以 CDV N 蛋 白单克隆抗体 G3N1 检测 CDV N 蛋白(绿色);以 SARS-CoV-2 S 蛋白单克隆抗体 SZK146 检测 S1 蛋白表 达(红色)


本项目依托黑龙江八一农垦大学动物医学研究平台,实验条件完善,实验设备充足,能满足本课题所需的各类试验要求,具备本课题开展的重要基础。

经费预算

开支科目 预算经费(元) 主要用途 阶段下达经费计划(元)
前半阶段 后半阶段
预算经费总额 10000.00 5000.00 5000.00
1. 业务费 4100.00 1000.00 3100.00
(1)计算、分析、测试费 500.00 250.00 250.00
(2)能源动力费 300.00 150.00 150.00
(3)会议、差旅费 900.00 400.00 500.00
(4)文献检索费 300.00 200.00 100.00
(5)论文出版费 2100.00 0.00 2100.00
2. 仪器设备购置费 0.00 0.00 0.00
3. 实验装置试制费 0.00 0.00 0.00
4. 材料费 5900.00 4000.00 1900.00

项目附件

  • 最终导出-PaperRay检测报告单-20240624.pdf.pdf
    下载
结束